Musculoskeletale Echografie (MSKUS)
Meten is weten. Geen giswerk, maar 100% zekerheid over uw klacht en herstel.
Bent u het beu om behandeld te worden op basis van aannames? Bij veel reguliere fysiotherapiepraktijken baseert de therapeut zich uitsluitend op wat hij met zijn handen voelt (palpatie) en de pijn die u aangeeft. Dat is vaak niet genoeg om complexe, diepliggende klachten op te lossen. In mijn praktijk in Bilthoven laat ik niets aan het toeval over en kijk ik met geavanceerde Musculoskeletale Echografie letterlijk onder uw huid.
Wat is Musculoskeletale Echografie (MSKUS)?
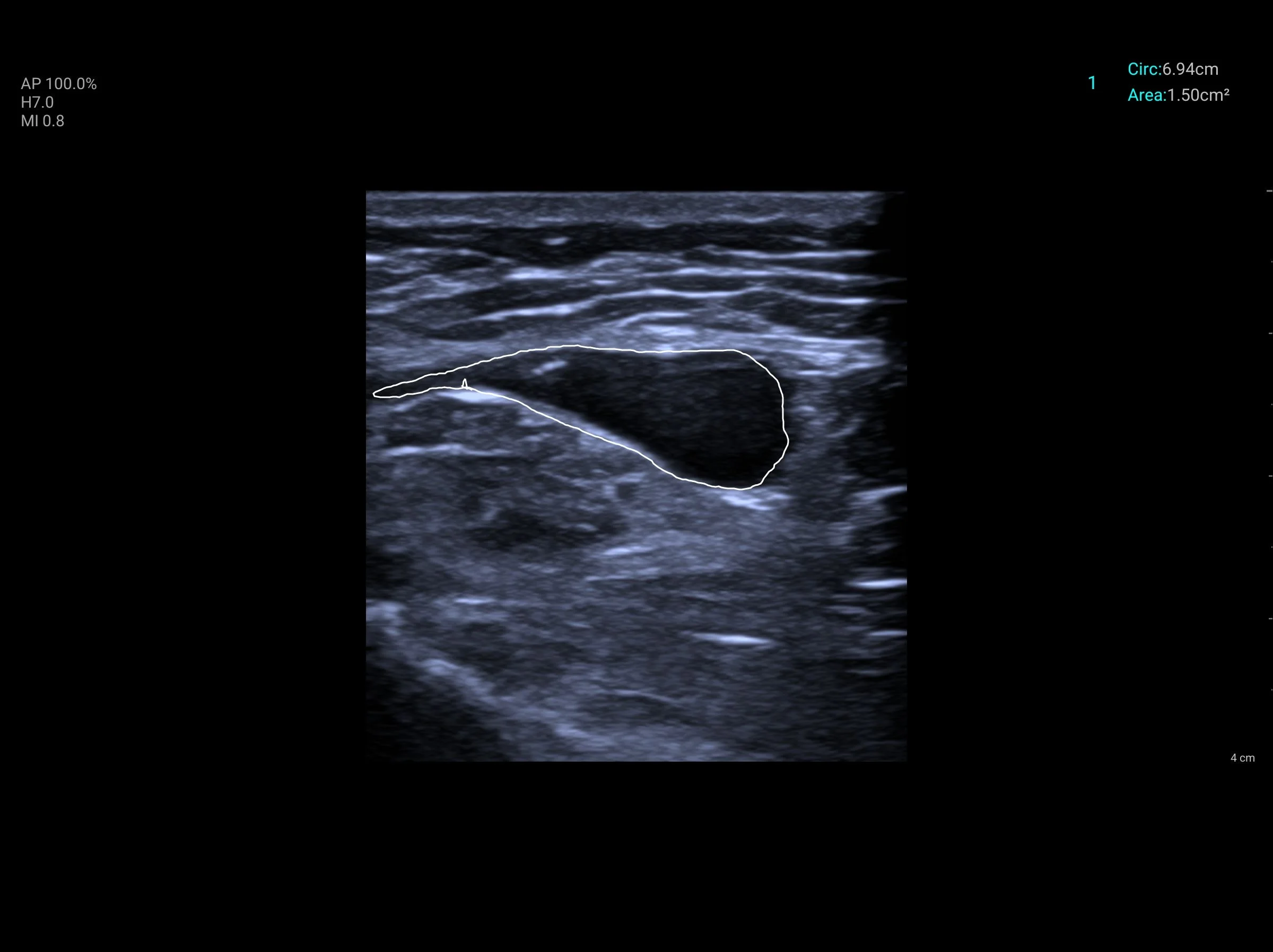
Met behulp van geluidsgolven breng ik uw spieren, pezen, banden, slijmbeurzen en zenuwen in hoge resolutie in beeld op een beeldscherm. Hierdoor zie ik exact wat de interne structuur van uw weefsel is. Zit er een scheurtje in de spier? Is de pees verdikt, ontstoken of zit er een verkalking? Of wordt er een zenuw bekneld door omliggend littekenweefsel?
De Wetenschap: SonoSkills & Continue Evaluatie
Ik ben opgeleid volgens de strenge, internationale richtlijnen van SonoSkills. Echografie is voor mij geen eenmalig trucje bij de intake. Ik werk protocol-vrij en gebruik de echo bij vrijwel elke afspraak om de actuele weefselstatus te evalueren. Reageert uw pees goed op de therapie? Neemt de ontsteking af? Door dit continu te meten, stuur ik uw behandeling direct bij waar nodig.
De Voordelen: Waarom kiezen voor Echografie?
Voor welke klachten is dit essentieel?
Echografie is de onmisbare basis voor een succesvol traject, met name bij:
Peesklachten: Hielspoor, achillespees, tenniselleboog en schouderpezen (inclusief calcificaties/verkalkingen).
Spierscheuringen: Om de exacte grootte van de scheur en de vorming van littekenweefsel (fibrose) te meten.
Slijmbeursontstekingen: Vooral in de schouder (bursitis subacromialis) of de heup.
Invasieve technieken: Het is de absolute randvoorwaarde om technieken zoals Percutane Electrolyse (PNE/EPTE/EPI/PENS) veilig en accuraat uit te voeren.
Wat kunt u verwachten?
Het echo-onderzoek is volledig pijnloos en onschadelijk. Ik breng een beetje gel aan op uw huid en glijd met de echokop over de pijnlijke regio. U kijkt direct met mij mee op het scherm. Ik leg u in begrijpelijke taal uit wat we zien. Vaak geeft dit alleen al een enorme geruststelling: we weten eindelijk exact wat er aan de hand is.

